未分類

病院運営においてなぜベッドを埋めろと口うるさく言われるのか

病床利用率が病院経営の鍵なのは間違いなのですが、なぜ高い稼働率が必要になるのでしょうか。病院という業種が持つ特殊性を学習しましょう
病院・組織運営(MBA/MHHA)

医療機関における心理的安全性

医療機関、部門運営において心理的安全性の重要性が注目を集めています。多職種があつまる組織の中で心理的安全性はなぜ重要なのでしょうか
救急医学

ERにおける一次性頭痛の考え方

SAHと髄膜炎を除外した先にどういった診断推論がまっているのでしょうか?
IVR

画像下治療(IVR)における鎮静鎮痛の考え方

IVRはほとんどが局所麻酔下で行われますが、まれに鎮静や鎮痛が必要にになります。そうしたときにどのように鎮痛鎮静の手段を考えればよいのでしょうか?
内科

救急外来における低Na血症の補正のヒント~SALSA trial~

低ナトリウム血症は遭遇頻度の多い電解質異常ですが、電解質異常の中でも原因検索が複雑で原因によって補正の戦略も異なることから苦手意識をもつ救急医も多いのではないでしょうか。 原因検索は別の機会にまとめるとして今回は補正の方法を考えてみたいと思います。
内科

後方循環系の脳梗塞に対する血管内治療〜ATTENTION trialとBAOCHE trialから〜

後方循環系の脳梗塞は診断も難しく治療も確立されたエビデンスの乏しい領域です。今回それに対して一石を投じる重要なRCTが2つ発表されました。
救急医学

創傷処置の際に滅菌の手袋は必要か~EMJ. 2022; 39: 650-654. ~

救急外来では「ケガ」が多いため縫合処置が数多くあります。その際に滅菌手袋か非滅菌の手袋かで感染割合などは変わるのでしょうか?
内科

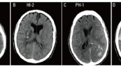
救急外来における出血性梗塞のマネジメント

出血性梗塞は発症しばらくしてからの合併症であるため救急外来で遭遇する機会は少なめですがその分、救急医が初療のことをよく理解していないことが多いためまとめました。
内科

深夜に来る遅延型アナフィラキシー

アナフィラキシーは即時型というイメージを壊して夜間に発症するアナフィラキシーがあるのをご存知でしょうか。夜間の救急外来にアナフィラキシーが来たけれど原因が分からない、ということへのヒントとなるアレルギーを2つ紹介します。
内科

救急外来における一過性全健忘

時々来るけど、来たときに知らないと困る一過性全健忘。鍵は適切なillness scriptの形成です。
トップへ戻る
タイトルとURLをコピーしました